红鳍东方鲀是中日主流养殖河豚品种,兼具高经济价值与独特风味,2023年中国河豚产量达26982吨,其肌肉中的鲜味肽是风味核心来源。鲜味作为愉悦的味觉体验,能改善饮食障碍、促进食欲,除MSG、IMP等传统鲜味物质,鲜味肽已从豆豉、牛肉、菲律宾蛤仔等多种食物中鉴定,截至2025年1月,实验室构建的TastepeptidesDB数据库已收录765个鲜味肽数据集。传统柱层析分离纯化鲜味肽存在耗时、费力、成本高的问题,分子对接、机器学习等计算机辅助技术因此被用于鲜味肽筛选,成为新型鲜味剂开发的重要手段。同时,鲜味肽的感官评价因训练专业团队难度大存在挑战,生物传感器则能提升味觉分析准确性,生物层干涉技术(BLI)作为无标记技术,可实时检测受体-配体结合的动力学变化,是鲜味肽评价的新型工具。此前研究已从红鳍东方鲀中鉴定出10种鲜味肽,但传统酶解因酶活降低等问题存在底物与酶作用时间受限的缺陷。超声预处理酶解借助声空化效应改变组织结构,促进酶-底物结合,或能挖掘更多新型鲜味肽。基于此,本研究以红鳍东方鲀为对象,结合多种水解方法、肽组学、虚拟筛选与生物传感器技术,探究其鲜味肽组成与作用机制,为解析河豚鲜味形成及风味产品开发提供基础。
图文赏析

图1围绕红鳍东方鲀不同提取物的味觉特征展开分析,其中图1A对比了风味酶(F)、复合蛋白酶(P)、混合酶(M)处理下提取物的味觉轮廓,可见F组的鲜味、咸味、甜味更突出且苦味更低,P组鲜味弱、苦味显著,M组各味觉强度均处于中等水平;图1B分析了原料提取物(RTE)、煮沸提取物(BTE)、酶解物(TH)、超声预处理酶解物(TUH)的味觉差异,结果显示TUH的鲜味强度显著高于其他组,且TH和TUH的鲜味、咸味、厚味均显著优于RTE和BTE;图1C为不同提取方法所得提取物的主成分分析(PCA),PC1和PC2累计方差贡献率达84.7%,能有效反映样品信息,其中BTE与RTE、TH与TUH的味觉特征分别相近,BTE和RTE的味觉轮廓与0.5%MSG接近,而TH和TUH虽与MSG轮廓不同,但感官评价显示其鲜味强度远高于0.5%MSG,电子舌无法区分TH和TUH也为后续深入分析二者肽组成奠定了基础。

图2围绕红鳍东方鲀超声预处理酶解物(TUH)和单纯酶解物(TH)的肽类展开鲜味相关分析,全方位解析其肽组成、鲜味特征及作用机制:图2A为肽分子量分布,TUH鉴定出162种肽、TH为135种,二者肽分子量均主要集中在1000-1500 Da区间,该低分子量寡肽是鲜味的重要贡献者;图2B为鲜味氨基酸占比分布,TUH和TH中含鲜味氨基酸的肽分别占94%和91%,且均以10%-20%占比的肽为主体,这类氨基酸是肽呈现鲜味的核心;图2C为分子对接得分分布,TUH和TH中分别有99.38%、97.78%的肽能与鲜味受体T1R1/T1R3-VFT成功对接,TUH的可对接肽占比更高;图2D、E为肽与T1R1、T1R3的对接结合位点频率,T1R1上Arg-151、Ser-248等为关键结合位点,T1R3则以Lys-155、Val-152等为主,且肽与T1R1的结合倾向性更强;图2F为TUH中肽的蛋白来源,其中25.4%、15.2%、6.6%分别来自肌球蛋白、肌联蛋白、肌动蛋白,这类肌原纤维蛋白是红鳍东方鲀鲜味肽的主要前体物质,整体也印证了TUH相较TH含有更多潜在鲜味肽的结论。

图3围绕红鳍东方鲀超声预处理酶解物(TUH)的鲜味肽展开筛选与质谱鉴定分析,清晰呈现了鲜味肽的多维度筛选结果及目标肽的质谱特征:图3A为肽的Q值分布,以1200 cal/mol为无苦味阈值,TUH中有83种肽符合该条件,具备成为鲜味肽的基础;图3B是iUmami-SCM鲜味评分分布,评分超588即为潜在鲜味肽,TUH中多数肽达到该标准;图3C为Umami_YYDS鲜味预测率分布,以预测率>0.5为判定依据,TUH中69%的肽被预测为鲜味肽;结合Q值、iUmami-SCM、Umami_YYDS三种方法及分子对接筛选后,确定24种潜在鲜味肽,并从中选取5种综合指标优异的肽进行合成验证;图3D至H依次展示了这5种目标鲜味肽(VDFDDLHR、KEPNRQWTPR、PFGNTHNNFK、YDSTHGRFKGEVK、TGESGAGKTVNTKR)的MS/MS二级质谱图,完成了对这些核心鲜味肽的分子鉴定,为后续的鲜味特性验证提供了明确的肽序列依据。

表1详细列出了本研究从红鳍东方鲀中筛选并合成的5种核心鲜味肽的关键信息,涵盖肽序列、缩写、氨基酸长度、分子量、质荷比(m/z)及蛋白来源六大维度,各肽的基础特征与来源清晰可辨:5种肽分别为八肽VDFDDLHR、十肽KEPNRQWTPR和PFGNTHNNFK、十三肽YDSTHGRFKGEVK、十四肽TGESGAGKTVNTKR,氨基酸长度从8到14个不等,分子量分布在1015.47 Da至1522.75 Da之间,质荷比也随分子特征呈现对应差异;同时这些肽的蛋白来源各有不同。
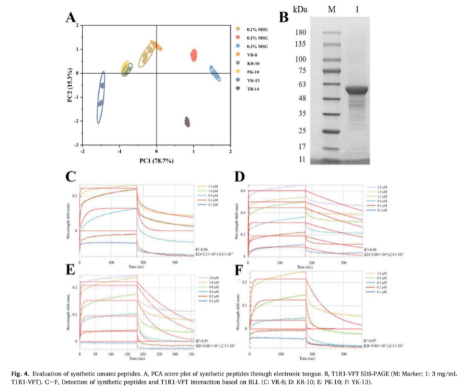
图4围绕筛选出的5种红鳍东方鲀合成鲜味肽展开多维度验证分析,全面验证其鲜味特性及与鲜味受体的结合作用:图4A为电子舌对5种合成肽的主成分分析,PC1和PC2累计方差贡献率达94.0%,能有效区分各肽的味觉特征,以不同浓度MSG为参照,得出5种肽的鲜味强度排序为TR-14>VR-8>KR-10>PK-10>YK-13,且VR-8的鲜味轮廓与0.1%MSG相近,TR-14和YK-13还存在其他突出风味;图4B为T1R1-VFT蛋白的SDS-PAGE电泳验证图,条带清晰且与52.65 kDa的理论分子量一致,证明该受体蛋白原核表达成功、纯度达标,可用于后续结合实验;图4C至F为生物层干涉技术检测4种肽(TR-14因分子特性未完成检测)与T1R1-VFT的结合解离曲线,不同浓度肽呈现出不同的结合信号,浓度越高结合解离信号越强,且通过平衡解离常数(KD)得出4种肽与受体的结合亲和力为PK-10=YK-13>KR-10>VR-8,直观反映了肽与鲜味受体的实时结合动力学特征。
表2和表3分别展示了5种红鳍东方鲀鲜味肽与鲜味受体T1R1、T1R3的结合位点及相互作用力数量,清晰揭示了肽与受体的结合偏好和核心作用位点:表2中5种肽与T1R1存在14个结合位点,Arg-151、Phe-247、Asn-150、Tyr-182为关键结合位点,不同肽与各位点的相互作用力数量存在差异,直观反映出结合紧密程度的不同;表3中5种肽与T1R3仅有9个结合位点,核心结合位点为Leu-173、Lys-155、Phe-180,且各肽与T1R3的相互作用位点和作用力数量远少于T1R1;整体来看,这5种鲜味肽与T1R1的结合作用显著强于T1R3,与两种受体结合的关键位点各有侧重。
结论
本研究通过超声预处理酶解法从红鳍东方鲀肌肉中获得162种多肽,该技术所产多肽的数量显著高于单一酶解法与普通水解法。风味酶被是最适合在水解物中获得理想风味的蛋白酶,与复合蛋白酶、风味酶-复合蛋白酶混合酶系相比,其水解产物鲜味更浓郁、苦味更淡,且含有的潜在鲜味肽种类更多。本研究合成了VDFDDLHR、KEPNRQWTPR、PFGNTHNNFK、YDSTHGRFKGEVK与TGESGAGKTVNTKR五种潜在鲜味肽,并采用Q值法、iUmami-SCM模型与Umami_YYDS模型对其鲜味特性进行综合评价。感官评定实验验证了上述多肽均具有鲜味活性,其鲜味识别阈值介于0.37~0.49 mmol/L之间。与鲜味受体T1R1/T1R3的分子对接结果显示,这五种鲜味肽对T1R1具有更强的结合倾向性,Arg-151、Phe-247、Asn-150与Tyr-182为其与T1R1结合的核心位点;而与T1R3结合的潜在关键位点为Leu-173、Lys-155与Phe-180,且多肽与两种受体结合的主要相互作用力为疏水作用与氢键。综上,本研究为红鳍东方鲀鲜味肽的相关研究提供了有效参考依据。
来源:公众号-食品指南针
原文链接:https://mp.weixin.qq.com/s/_CS7DXU-Tbfdlp7u9KyKhg

